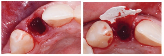
Cấy ghép màng xương là một kỹ thuật trong nha khoa được sử dụng trong trồng răng implant, màng xương là những sản phẩm sinh học nhân tạo tái thẩm thấu dành cho xương và mô. Bác sĩ sẽ sử dụng miếng màng xương nhân tạo cấy trực tiếp vào mô mềm tại vị trí được ghép xương nhằm tăng độ dày, giúp xương được cứng chắc hơn, cải thiện chức năng sinh lý và thẩm mỹ của sống hàm. Miếng màng xương cũng có thể được đắp bên ngoài vết thương vừa cấy ghép, giúp nhanh chóng lành thương hơn.
Thông tin sản phẩm:
Màng vỏ bán cứng với mức độ khử khoáng một phần. Được dùng cho việc tăng cường theo chiều dọc và chiều ngang với cấy ghép, cũng như cho nâng xoang. Cần ngâm trong dung dịch saline vô trùng ít nhất 10 phút. Để tránh tấm bị nứt hoặc phân hủy trước khi cố định, nên tạo các lỗ thủng có đường kính tối thiểu bằng đường kính của phần cố định.
Thúc đẩy quá trình hình thành mô hạt, chống lại các vi khuẩn có hại và kích thích tái sinh các mô mới trong giai đoạn phục hồi, làm cho vết thương nhanh chóng được liền lại khi trồng răng implant.













